1級叢生症例(奥の噛み合わせが正常だが、前歯部が凸凹の症例)
上顎前突症例
氏名 〇○〇○ 男性 11歳10ヶ月
主訴:上顎前歯叢生、でっ歯
既往:特記事項なし
全身状態の異常:頭痛(たまに)、肩こり
治療後の状態で、上下SH装置2mm程拡大する形で保定代わりに使ってもらいながら終了となりました。
ーーーーーーーーーーーーーーーーーーーーーーーーーーーーーーーーーーーーーーーーーーーー
2級1類症例(奥歯が出っ歯の噛み合わせで、上の前歯も口から少し出てしまっている症例)
上顎前突症例
氏名 〇○〇○〇 女性 12歳2ヶ月
主訴:でっ歯
既往:特記事項なし
全身状態の異常:頭痛(たまに)

SH療法を行う事によって、こんなに顔貌の変化が見られました。
ーーーーーーーーーーーーーーーーーーーーーーーーーーーーーーーーーーーーーーーーーーーー
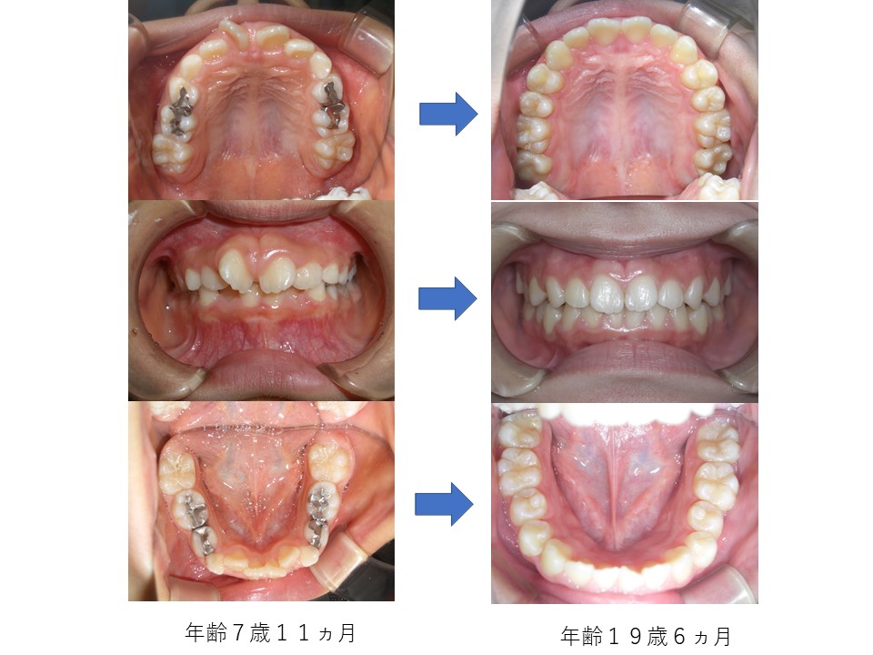
2級1類症例、上下前歯叢生(前歯が凸凹の症例)
初診時
氏名 ○〇○〇 女性 年齢7歳11ヶ月
主訴:上下前歯叢生
既往:特記事項なし
全身的症状:乗り物酔い
低年齢時から治療を行うと悪い所が簡単に治せます。中学生の頃、治療を中断しましたが、高校生になって再治療を行いました。
低年齢時に一度、SH療法で拡大しておくと再治療がしやすいです。
ーーーーーーーーーーーーーーーーーーーーーーーーーーーーーーーーーーーーーーーーーーーー
SH療法で前歯部開口を改善できた症例
初診時
h30.9.14
年齢63歳
主訴:オープンバイト
全身症状:肩こり
最後にプレオルソ装置↓を使うことで、とても安定した口腔内状態が保たれています。
右下の装置はマイオブレース装置です。
ーーーーーーーーーーーーーーーーーーーーーーーーーーーーーーーーーーーーーーーーーーーー
反対咬合症例(受け口)
初診時
氏名 ○〇○〇○ 男性 年齢7歳9ヶ月
主訴:反対咬合
既往:特記事項なし
全身状態の異常については問診をしていませんでした。


↑この症例は3か月間チンキャップを使用して前歯部の受け口を治してから、上下顎を床装置で拡大しました。
特に反対咬合症例では早期治療が大切となります。
ーーーーーーーーーーーーーーーーーーーーーーーーーーーーーーーーーーーーーーーーーーーー
反対咬合症例(受け口)ムーンシールドでの治療
初診時
氏名 ○〇○〇 年齢6歳0ヶ月
主訴:反対咬合
既往:特記事項なし
全身状態の異常、特になし
年齢的にSlideX付SH装置を使うには時期が早く、この症例ではムーシールドによる治療を考えました。また、反対咬合症例は可能ならば早期治療を行うべきであると考えています。
受け口は改善しましたが姿勢が
悪いため気道が狭くなっています。
この後SH装置で上下顎拡大させることで
気道部を拡大させストレートネックが治ります。
反対咬合は顎顔面部の成長発育量を使用して治すため、早期治療が大切です。歯の軸よる反対咬合の時にはそれ限りではないので、ご相談ください。成人の方。
プレオルソ装置にも反対咬合用の物がありますが。上顎前突用の物とは形態が少し違います。
最近発売されたプレオルソⅩ(永久歯歯列用プレオルソ装置)です。↓
ーーーーーーーーーーーーーーーーーーーーーーーーーーーーーーーーーーーーーーーーー
2級2類の症例(奥の噛み合わせが出っ歯の噛み合わせで前歯の噛み合わせが深い症例)
初診時
氏名 K.O. 男性 18歳7か月
主訴:上下叢生
既往歴:特になし
全身症状:鼻づまり、花粉症、姿勢が悪い、
めまい(耳鼻科では異状ないと言われた)
現症:上下の噛み合わせがきつく、余裕がない。
めまい、耳鳴りが治って、この患者さんはとても喜んでいました。
最後はSH装置を保定装置代わりに使ってもらっています。
この患者さんの治療の流れ:狭窄歯列の解除→マイオブレス装置→SH装置で保定
ーーーーーーーーーーーーーーーーーーーーーーーーーーーーーーーーーーーーーーーーーーーー
SH療法によって睡眠時無呼吸症の改善がみられた症例
上顎前突症例
氏名 〇○〇○ 男性 17歳4ヶ月
主訴:でっ歯、睡眠時無呼吸症候群
既往:特記事項なし
全身状態の異常:鼻づまり、アトピー、
睡眠時無呼吸症候群のため呼吸器科の先生から
当医院を紹介された。
使用した検査装置です。高い解析精度があります。
緑色:正常 黄色:軽度 橙色:中程度 赤色:重度
この患者さんは初診時軽度の中では重症の方だと判ります。
SH治療後では正常になりました。
SpO²<90%が0.31から0.01になった値は大きいです。
ESS(眠気の問診)でも18から0になりました。
